Skip to main content
Skip to main navigation menu
Skip to site footer
Open Menu
About
About the Journal
Editorial Team
Contact
Current Issue
Archives
Submission guidelines
FAQs
Announcements
Search
Search
Register
Login
Home
/
Archives
/
Vol. 4 No. 2 (2023): Trinity Term 2023
Vol. 4 No. 2 (2023): Trinity Term 2023
DOI:
https://doi.org/10.37707/jnds.v4i2
Published:
2023-08-06
Introduction
Foreword
Ashok Handa
Foreword
Editorial
Global Surgery, Universal Health Coverage & the Spirit of Ubuntu
Shobhana Nagraj
Global surgery, universal health coverage & the spirit of Ubuntu
Surgery in Oxford: A History
David Cranston
Surgery in Oxford: A History
Case Studies
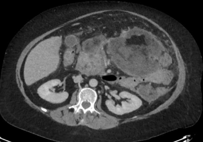
First, do no harm: surgical management of von Hippel Lindau syndrome
Hannah Farley
First, do no harm: surgical management of von Hippel Lindau syndrome
Evaluating the decision to use Fenestrated EVAR for the elective treatment of a complex AAA
Georgina Loncarevic Whitaker
Evaluating the decision to use fenestrated EVAR for the elective treatment of a complex AAA
Paediatric Renal Failure- A Lifelong Battle Requiring Multiple Transplantations
Luiza Farache Trajano
Paediatric renal failure - a lifelong battle requiring multiple transplantations
Carotid Artery Web: A rare cause of recurrent ischemic stroke
Katerina Dangas
Carotid artery web: a rare cause of recurrent ischemic stroke
Post-ERCP acute infected necrotising pancreatitis in a patient with Cushing’s disease
Piero Alberti
Post-ERCP acute infected necrotising pancreatitis in a patient with Cushing’s disease
Surgeon Profiles - Celebrating Diversity
Surgeon Profile Series: Professor Meghana Pandit
Zara Small
Surgeon Profile Series: Professor Meghana Pandit
Obituaries
Obituary: Professor Sir Peter Morris
David Cranston
Obiturary: Professor Sir Peter Morris
Developed By
Open Journal Systems
Information
For Readers
For Authors
For Librarians